IHMC Public Cmaps

        Fiestas de fin de año
            Colegio Cervantino
                2011-2012 BIBLIOTECA
                    MEDIA
                        Departamento de Ciencias
                            Biología
                                Miriam
                                    PRIMERO MEDIO
                                        UNIDAD N° 1 ESTRUCTURA Y FUNCIÓN CELULAR
                                            1.1CÉLULA
                                            Recursos para UNIDAD 1 LA CÉLULA

                                                adn2.jpg
                                                Aparato_golgi_letras.jpg
                                                APARATO DE GOLGI.jpg
                                                CelCitoplasma2.jpg
                                                celula.jpg
                                                CÉLULA.jpg
                                                CÉLULAS.jpg
                                                Celulas_de_Cancer_de_Colon.jpg
                                                CÉLULAS DE CORCHO.jpg
                                                CÉLULA UNIDAD DE ORIGEN.jpg
                                                CÉLULA UNIDAD FUNCIONAL.jpg
                                                CHISTECELULAR.jpg
                                                CITOPLASMA.jpg
                                                CITOPLASMA2.jpg
                                                Cromosomas_y_el_ADN(bajaryoutube.com).mp4
                                                Epidermis de cebolla al microscopio.wmv - YouTube.wmv
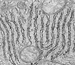
                                                EsquemaReticulo.png
                                                estomas de una planta - YouTube.wmv
                                                Las células cómo funcionan - YouTube.wmv
                                                La Vida Dentro De La Celula - Harvard University.wmv
                                                membnuclestr.jpg
                                                MEMBRANA.bmp
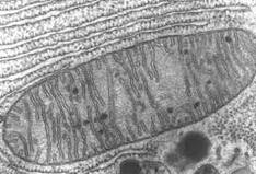
                                                MITOCONDRIA.jpg
                                                nucleo.gif
                                                NÚCLEO.jpg
                                                NUCLEO CELULAR.mp4
                                                ORGANELOS.jpg
                                                ORGANELOS HAPPY.jpg
                                                POLISOMA.jpg
                                                Procarionte.png
                                                PROCARIONTE - EUCARIONTE.mp4
                                                PROCARIOTA.jpg
                                                PROTEÍNA EXTRINSECA.jpg
                                                REL.bmp
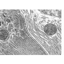
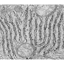
                                                RER.jpg
                                                RER Y REL.jpg
                                                RIBOSOMA.jpg
                                                ribosomas.gif
                                                SINTESIS DE PROTEÍNAS.jpg
                                                vida.jpg