IHMC Public Cmaps

        VETE UCL 1381_2014
            g3 mue
                Groupe 3 la mue
                    phase du poil
                    Phase télogene photo

                        cmapthumbs
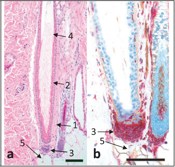
                        télogéne histo.png
                        télogéne photo.png
                        télogéne schéma.png