IHMC Public Cmaps

        CCLCM Class of 2019
            GI Block
                PBL 1
                Resources for Histology of the Esophagus and Stomach

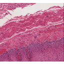
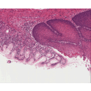
                    Barrett esophagus.jpg
                    Basic structure of alimentary canal.jpg
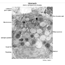
                    Electron micrograph of chief cell.jpg
                    Electron micrograph of enteroendocrine cell.jpg
                    Electron micrograph of mucus cell.jpg
                    Electron micrograph of parietal cell.jpg
                    Endoscopic view of stomach rugae.jpg
                    Esophageal sphincters.jpg
                    Esophagus + vagus nerves.jpg
                    Esophagus anatomy.jpg
                    Gastric anatomy.jpg
                    Gastric gland showing parietal and chief cells.jpg
                    Gastroduodenal junction showing pyloric sphincter.jpg
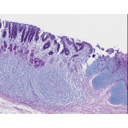
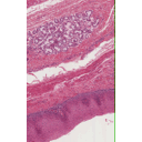
                    Gastroesophageal junction.jpg
                    Gastroesophageal junction stained for mucus (PAS stain).jpg
                    High resolution gastric gland.jpg
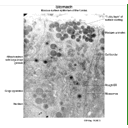
                    Histologic divisions of the stomach.jpg
                    image.jpg
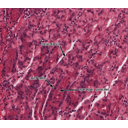
                    Labeled muscularis externa.jpg
                    Labeled submucosal gland and duct.jpg
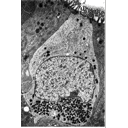
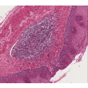
                    Lamina propria with lymphatic nodule.jpg
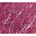
                    Mucus gland in submucosa.jpg
                    Muscularis mucosae.jpg
                    Open vs closed enteroendocrine cell.jpg
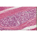
                    Pyloric glands.jpg
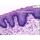
                    Stratified squamous epithelium.jpg