IHMC Public Cmaps

        VEGAJ
        Resources for Histology of the Esophagus and Stomach

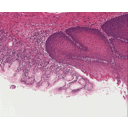
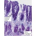
            Barrett esophagus.jpg
            Basic structure of alimentary canal.jpg
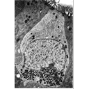
            Electron micrograph of chief cell.jpg
            Electron micrograph of enteroendocrine cell.jpg
            Electron micrograph of mucus cell.jpg
            Electron micrograph of parietal cell.jpg
            Endoscopic view of stomach rugae.jpg
            Esophageal sphincters.jpg
            Esophagus + vagus nerves.jpg
            Esophagus anatomy.jpg
            Gastric anatomy.jpg
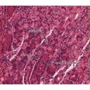
            Gastric gland showing parietal and chief cells.jpg
            Gastroduodenal junction showing pyloric sphincter.jpg
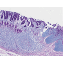
            Gastroesophageal junction.jpg
            Gastroesophageal junction stained for mucus (PAS stain).jpg
            High resolution gastric gland.jpg
            Histologic divisions of the stomach.jpg
            image.jpg
            Labeled muscularis externa.jpg
            Labeled submucosal gland and duct.jpg
            Lamina propria with lymphatic nodule.jpg
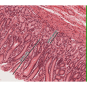
            Mucus gland in submucosa.jpg
            Muscularis mucosae.jpg
            Open vs closed enteroendocrine cell.jpg
            Pyloric glands.jpg
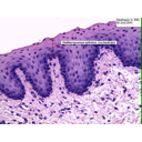
            Stratified squamous epithelium.jpg