IHMC Public Cmaps

        VETE UCL 1381_ 2019-2020
            Exemple
                Allergies chez l'animal de compagnie
                Logos

                    ADN bleu.png
                    ADN bordeau.png
                    Allergènes du Chat.png
                    Allergènes du Chien.png
                    Allergènes environnementaux.png
                    Allergènes extérieurs.png
                    Asthme chat.png
                    Chien chat vert clair.png
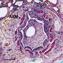
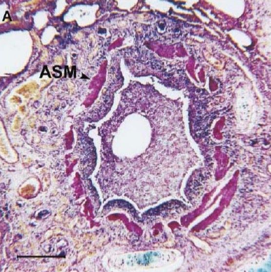
                    Coupe histo bronche pousse.jpg
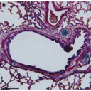
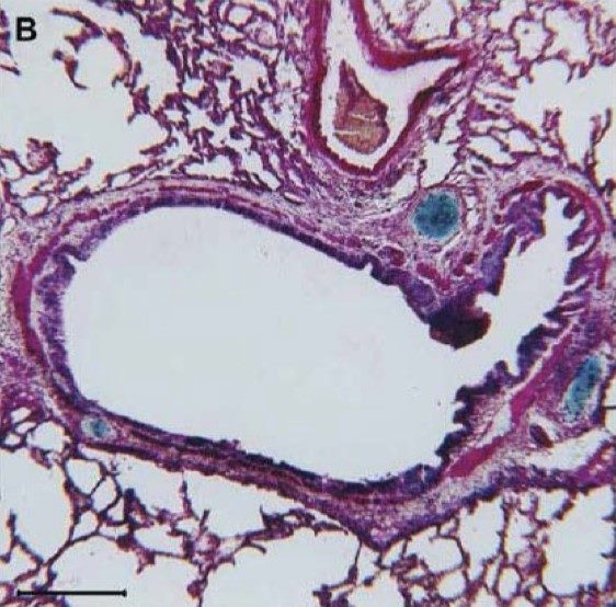
                    Coupe histo bronche saine.jpg
                    Danger de mort.png
                    Derme.png
                    Diptère.jpg
                    Environnement.png
                    Fond d'écran abyssin.png
                    Fond d'écran labrador.png
                    Gazon.png
                    KWPN.png
                    peau.png
                    Puce.png